TB fight should not cease

TUBERCULOSIS (TB) is a disease caused by germs that are spread from person to person through the air.
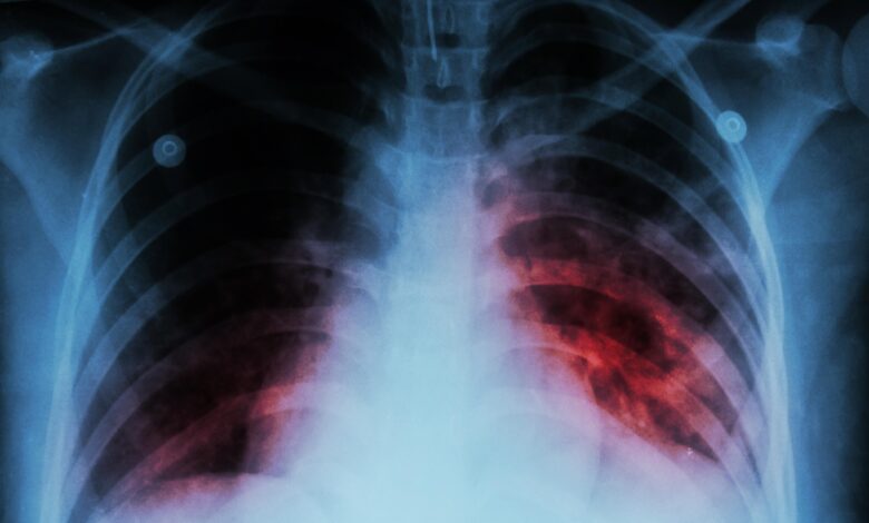
TB usually affects the lungs, but it can also affect other parts of the body, such as brain, kidneys or spine. A person with TB can die if they do not get treatment.
To put it simply, it is a killer disease. Being aware of the situation, Tanzania Government has launched the Multisectoral Accountability Framework for TB (MAF-TB) that aims to accelerate progress to end the epidemic by 2030.
The framework seeks to enhance collaboration and accountability from all key stakeholders including policy makers towards the target.
According to the World Health Organisation’s (WHO) estimates for 2022, Tanzania is among the 30 countries with the highest TB burden, with at least 73 Tanzanians dying each day from TB and the healthcare system missing approximately 35 per cent of patients.
The general symptoms of TB disease include feelings of sickness or weakness, weight loss, fever and night sweats.
The symptoms of TB disease of the lungs also include coughing, chest pain and the coughing up of blood. Symptoms of TB disease in other parts of the body depend on the area affected. MAF-TB is expected to address the gaps within the TB programming, finding undiagnosed people with TB and linking them to quality care.
The framework will boost sectoral cooperation, which has been lacking for a long time due to a lack of unified coordination, according to Prime Minister Kassim Majaliwa, who launched it on Friday.
The fight should go on until success is registered to ensure no more spread of the disease and zero deaths from it.
In order to save groups at risk of contracting it, such as miners due to extraction activities that do not take into account the proper ways to protect themselves from silica dust, Mr Majaliwa instructed all the ministries mentioned in the framework to set strategic priorities to combat the epidemic.
TB germs are put into the air when a person with TB disease of the lungs or throat coughs, sneezes, speaks or sings. These germs can stay in the air for several hours, depending on the environment.
Persons who breathe in the air containing these TB germs can become infected; this is called latent TB infection. People with latent TB infection have TB germs in their bodies, but they are not sick because the germs are not active.
These people do not have symptoms of TB disease and they cannot spread the germs to others. However, they may develop TB disease in the future. They are often prescribed treatment to prevent them from developing TB disease.
People with TB disease are sick from TB germs that are active, meaning that they are multiplying and destroying tissue in their body. They usually have symptoms of TB disease.
People with TB disease of the lungs or throat are capable of spreading germs to others. They are prescribed drugs that can treat TB disease.
It is good to hear that Tanzania has made progress towards TB eradication as a result of various governments’ measures. WHO data show that TB-related mortality has fallen by 55 per cent from 55,000 in 2015 to 25,800 in 2022.
Everybody has a duty in the fight; to take all the necessary precautionary measures since a single patient who is not yet diagnosed can infect 10 to 20 persons in just one year.
The fight should be relentless



